Best Cosmetic Dentist in Vizag for Perfect Smile
A beautiful smile can boost your confidence and leave a lasting impression. At Nihiras Dental Care in Visakhapatnam, we offer advanced cosmetic dentistry treatments designed to improve the appearance of your teeth and smile while maintaining optimal oral health.
What Is Cosmetic Dentistry?

Cosmetic dentistry refers to a branch of dentistry that focuses on improving the appearance of a person's teeth, smile, and overall oral aesthetics. It involves various dental procedures and treatments aimed at enhancing the appearance of teeth, gums, and bite.
Our Cosmetic Dentistry Treatments
Teeth Whitening
Dental Veneers
Dental Crowns
Dental Implants
Direct Bonding
Orthodontic Treatments
Gum Contouring
Smile Makeovers
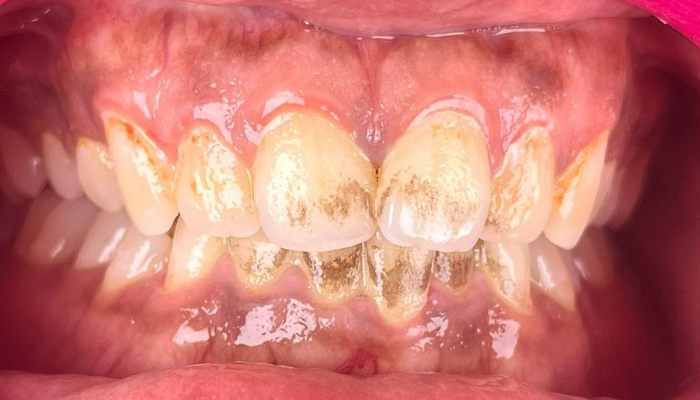
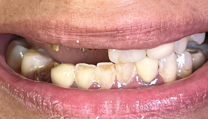
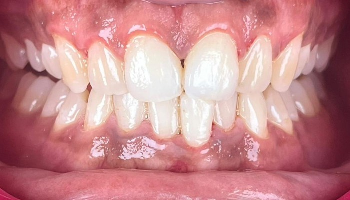
Smile Gallery






EXCELLENT Based on 313 reviews Posted on Indu InduTrustindex verifies that the original source of the review is Google. Very good nicePosted on Svs YashwantTrustindex verifies that the original source of the review is Google. Very Friendly and Professional experience. Highly recommended for any dental issuesPosted on ambati lavanyaTrustindex verifies that the original source of the review is Google. Charisma Maam is good at analysing & treating & affordable.. well mannered staff.Posted on Akhil NairTrustindex verifies that the original source of the review is Google. Good saviPosted on Bodem BSYNarayanaTrustindex verifies that the original source of the review is Google. Friendly approach and give very good treatment for childrenPosted on Chandini GubbalaTrustindex verifies that the original source of the review is Google. Treatment is excellent. Doctor is very friendly. Properly diagnoses the root cause and explains it. Post treatment follow up is also good until we recover completely.
Vizag's Premier Dental Experince
MEET OUR DOCTORS
Achieve Your Healthy Smile at Nihira's Dental Care - The Best Dental Clinic in Vizag!
1-113-47/1, 1st floor, Ushodaya Jn, above More Super Market, Ushodaya Junction, Sector 12, MVP Colony, Visakhapatnam, Andhra Pradesh 530017
+91-85208 77727
nihiradentalcare@gmail.com
Monday-Saturday: 9 AM - 9 PM
Sunday: 9 AM - 1 PM
FAQ
The longevity of cosmetic dental treatment results varies based on the specific procedure and individual factors. Generally, with proper oral care and regular dental check-ups, the results can last for many years. For example, teeth whitening may require touch-ups over time, while procedures like veneers or crowns can provide long-lasting improvements.
The cost of cosmetic dental treatment at Pune Dental Studio is influenced by factors such as the type of procedure, the complexity of the case, and the materials used. During your consultation, our team will discuss your goals, assess your oral health, and provide a transparent breakdown of the costs involved. To know more about the cost of cosmetic treatment in baner, visit our clinic
No, cosmetic contouring is painless, does not require anaesthesia and has no recovery time after the treatment is completed.
Best dental clinic in Vizag with GOLD
MEDALIST AND UNIVERSITY RANK holder
Dentists and well equipped latest and
advanced- cutting edge technology.
Address
1-113-47/1, Ist floor, Ushodaya Jn, above More Super Market, Ushodaya Junction, Sector 12, MVP Colony, Visakhapatnam, Andhra Pradesh 530017
Contact
Phone: +91-85208 77727
Email: nihiradentalcare@gmail.com

